定期的な運動や頭を使った仕事、何か新しいことにチャレンジしたりと、私たちは日常の中でさまざまな方法で頭を鍛えています。
特に、新しいスキルの習得などは、脳機能を高める手段として広く知られています。
しかし、香りがその脳にも影響を与えているとしたらどうでしょう。
2024年に発表された京都大学、筑波大学らによる新しい研究では、特定の香りを身につけることによって脳の灰白質の体積を増加させる可能性が示されました。
この成果は、認知症などの神経変性疾患の予防や治療に役立つ可能性を秘めているとして注目されています。
以下に研究の内容をまとめます。
参考記事)
・Smelling This One Specific Scent Can Boost The Brain’s Gray Matter(2025/08/28)
参考研究)
・Continuous inhalation of essential oil increases gray matter volume(2024/02/07)
研究の概要と目的
研究チームは、香りが記憶や認知機能に影響を与えることは既に多くの先行研究で示されていると述べています。
過去の研究でも、香りを短時間嗅ぐことで認知機能や注意力が改善することが確認されてきました。(Post-traumatic olfactory loss and brain response beyond olfactory cortexより)
しかし今回の研究は、「長期間にわたる香りの吸入が脳の構造そのものに変化を与えるかどうか」を検証する点で、従来の研究とは一線を画しています。
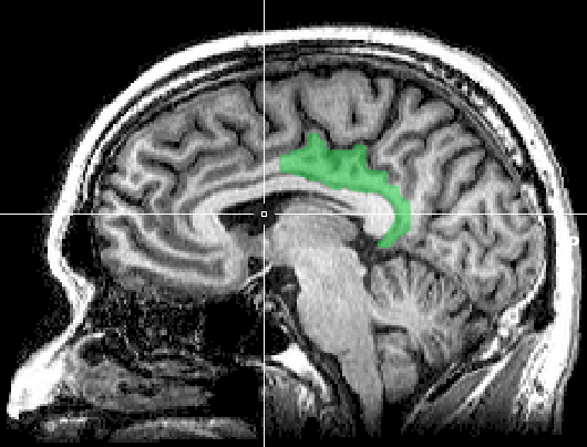
研究者たちが注目したのは、脳の中で記憶や連合に深く関わる後部帯状皮質(posterior cingulate cortex, PCC)です。

この部位はアルツハイマー病患者では萎縮が見られることが知られており、その保護や活性化が認知症予防の観点から重要とされています。
実験方法

研究には50人の女性が参加しました。
そのうち28人には、特定のバラの香りを含む精油を衣服に付けてもらい、1か月間にわたり日常的にその香りを身につけるように指示しました。
対照群の22人には、水を衣服に付けてもらい、香りのない状態で同じ期間を過ごしてもらいました。
研究期間の前後で、参加者の脳を磁気共鳴画像(MRI)によってスキャンし、灰白質の体積にどのような変化が生じたかを比較しました。
灰白質は、神経細胞の本体部分が集まる組織であり、思考、記憶、学習などに深く関与するため、その増加は認知機能の強化に結びつく可能性があります。
実験結果
MRIの結果、バラの香りを継続的に身につけていた参加者は、対照群に比べて灰白質の体積が増加していることが確認されました。
ただし、その変化は脳全体に一様に現れたわけではなく、部位によって差が見られました。
Continuous inhalation of essential oil increases gray matter volumeより ・扁桃体(amygdala):香りや感情の処理に関与する領域だが、ここでは大きな変化は観察されなかった
・眼窩前頭皮質(orbitofrontal cortex):快い香りを処理する領域がら、ここでも顕著な変化は見られなかった
・後部帯状皮質(posterior cingulate cortex, PCC):記憶や連合に関わる領域で、顕著に灰白質の体積が増加していることが確認された
この結果は、脳が香りに対して特定の適応を行っていることを示唆しています。
研究者たちは、この変化が起きる理由についていくつかの仮説を提示しています。
まず、扁桃体が大きく変化しなかった理由として、常に香りが存在していたために扁桃体が香りの検知にエネルギーを割く必要がなくなった可能性が考えられます。
代わりに、PCCが香りの記憶や関連づけを継続的に処理することで活動が活発化し、その結果として灰白質が増加したのではないかと説明しています。
研究者たちは論文の中で、「PCCは記憶と匂いの連合、匂い記憶の想起、意味記憶の処理に関わる」と記しています。
このことから、香りを継続的に嗅ぐことで、脳が「匂いを記憶化し続ける」働きを強化した可能性が高いと考えられます。
さらに別の可能性として、バラの香りが脳にとって「不快な刺激」として処理された可能性も挙げられています。
この場合、脳は感情の調整を行う必要が生じ、その過程でPCCが強く働き、灰白質の体積増加につながったのかもしれません。
臨床応用への可能性
この研究結果が直ちに「香りを嗅げば頭が良くなる」と結論づけることはできません。
研究者たちも明記しているように、灰白質の増加がそのまま思考力や記憶力の向上を意味するわけではないためです。
しかし、今回の成果は認知症の予防や治療に応用できる可能性を秘めています。
アルツハイマー病ではPCCが萎縮することが知られており、香りによってこの領域を刺激し続けることが、脳の萎縮を防ぎ、認知症の進行を遅らせる効果につながるかもしれないと期待されています。
さらに、香りを利用したアロマセラピーは、薬剤を使うよりも副作用のリスクが少なく、日常生活に取り入れやすいという利点があります。
香水やアフターシェーブのように衣服に香りを付与するだけで、脳の健康をサポートできる可能性があるのです。
今後の展望と課題
研究チームは、今回の成果を足がかりにして、より多くの被験者を対象にした研究や、異なる種類の香りを使った実験を進めていく必要があるとしています。
今回の実験は50人という比較的小規模な参加者数に限定されているため、結果を一般化するには慎重な検証が求められます。
また、香りが不快か快適かといった主観的な感覚の違いが、脳の反応にどのような影響を与えるのかについてもさらなる研究が必要です。
まとめ
・バラの香りを継続的に嗅ぐことで脳の灰白質が増加する可能性が示された
・特に後部帯状皮質(PCC)が顕著に増加し、記憶や認知に関わる働きが活性化している可能性がある
・認知症予防やアロマセラピーへの応用が期待されるが、さらなる大規模研究が必要である



コメント